Uutta tietoa huonoennusteisen rintasyövän hoitoon
4.10.2024 07:00:00 EEST | Helsingin yliopisto | Tiedote
Tuore tutkimus auttaa kehittämään uusia hoitokeinoja MYC-positiiviseen rintasyöpään, jonka ennuste on usein heikko ja johon ei ole tällä hetkellä olemassa tehokkaita hoitoja. FM Johanna Anttila väittelee Roosa nauha -päivänä 4.10.

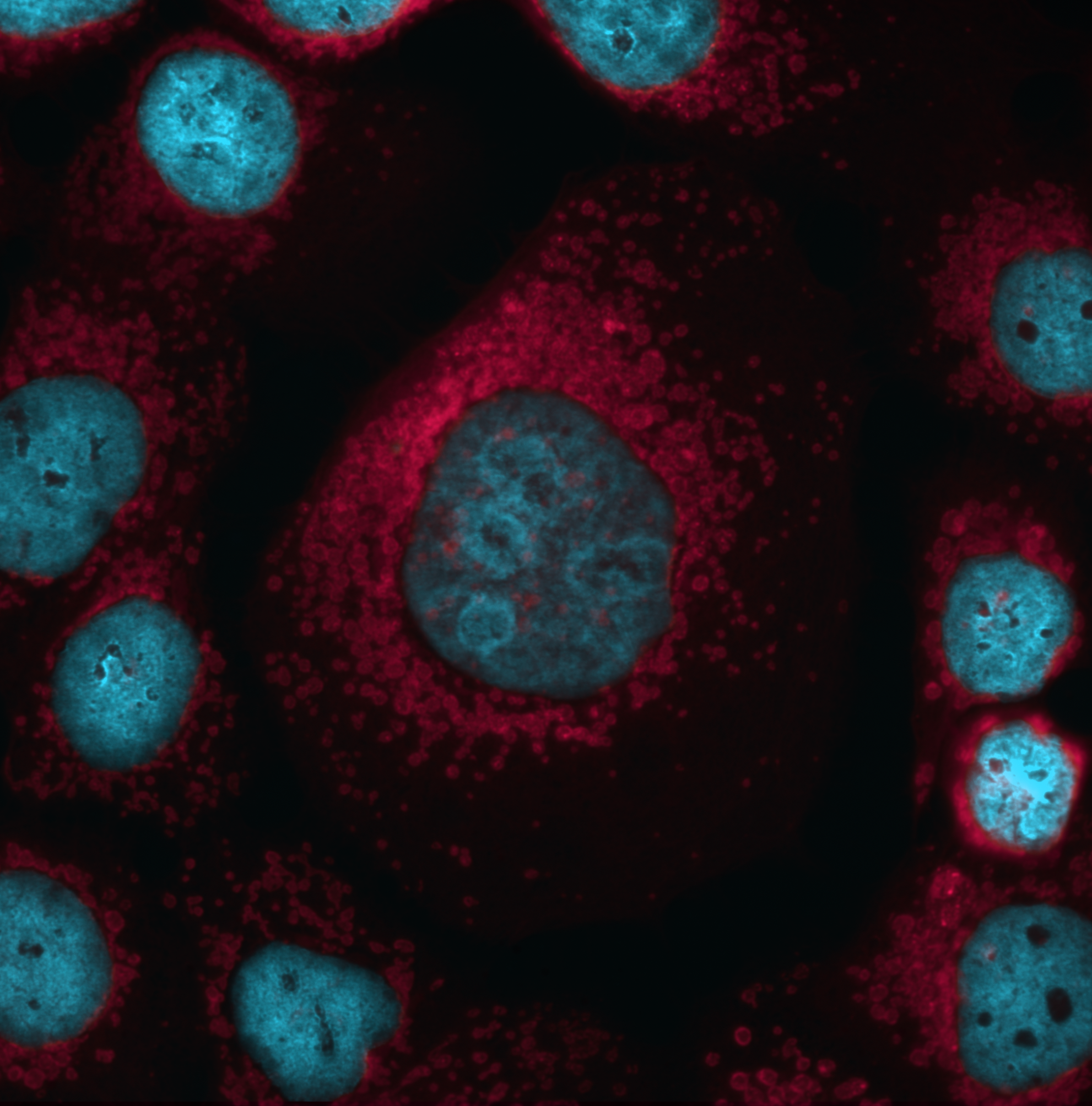
Rintasyöpä on naisten yleisin syöpä, ja noin puolessa tapauksista havaitaan MYC-proteiinin yli-ilmentymistä. MYC:n yli-ilmentyminen kiihdyttää syöpäsolujen kasvua ja tekee niistä aggressiivisia. Käytössä ei tällä hetkellä ole syöpähoitoja, joiden vaikutus kohdentuisi suoraan MYC:n vaikutuksiin.
Helsingin yliopiston väitöskirjatutkija Johanna Anttila löysi tutkimuksessaan MYC-positiivisille syöpäsoluille elintärkeitä aineenvaihduntareittejä. Näiden reittien ymmärtäminen voi auttaa kehittämään uusia, täsmällisempiä hoitomuotoja, jotka pystyvät tehokkaammin pysäyttämään syövän etenemisen.
– Havaitsimme, että lääkkeet, joiden vaikutus kohdentuu näihin MYC:n ohjaamiin solutoimintoihin, estävät tehokkaasti MYC-positiivisen rintasyövän kasvua useissa erilaisissa rintasyöpämalleissa, hän kertoo.
Tutkimuksessa selvisi myös, että MYC:n vaikutukset mitokondrioiden toimintaan, ohjelmoituun solukuolemaan sekä immuunijärjestelmän välttämiseen ovat avainasemassa syöpäsolujen selviytymisessä.
– Esimerkiksi mitokondrionaaliseen aineenvaihduntaan kohdentuvat lääkehoidot näyttävät olevan tehokkaita MYC-positiivisten rintasyöpäsolujen täsmähoidossa.
FM Johanna Anttilan väitöstilaisuus pidetään syöpätutkimuksen tärkeyttä esiin nostavana Roosa nauha -päivänä perjantaina 4. lokakuuta.
Lue lisää tutkimuksesta
Yhteystiedot:
Johanna Anttila
p. 0400 951 991
johanna.m.anttila@helsinki.fi
Avainsanat
Yhteyshenkilöt
Helsingin yliopiston mediapalvelu
Puh:02941 22622mediapalvelu@helsinki.fiKuvat

Linkit
Helsingin yliopisto on yli 40 000 opiskelijan ja työntekijän kansainvälinen tiedeyhteisö, joka toimii neljällä kampuksella Helsingissä ja usealla muulla paikkakunnalla Suomessa. Kansainvälisissä yliopistovertailuissa Helsingin yliopisto sijoittuu maailman parhaan yhden prosentin joukkoon. Helsingin yliopisto on perustettu vuonna 1640.
Tilaa tiedotteet sähköpostiisi
Haluatko tietää asioista ensimmäisten joukossa? Kun tilaat tiedotteemme, saat ne sähköpostiisi välittömästi julkaisuhetkellä. Tilauksen voit halutessasi perua milloin tahansa.
Lue lisää julkaisijalta Helsingin yliopisto
Paikallisten kalastajien tieto täsmensi ennusteita kuhan kutualueista16.3.2026 14:17:07 EET | Tiedote
Matemaattinen mallinnus tarkentaa ympäristöpoliittista suunnittelua. Helsingin yliopiston väitöstutkimuksessa kehitettiin uusia välineitä saaristomeren vedenlaadun parannuskeinojen vertailuun ja rannikkokalojen kutualueiden seurantaan.
Puun pintakäsittely saattaa hillitä haitallisten bakteerien kasvua12.3.2026 11:00:00 EET | Tiedote
Tuoreen tutkimuksen mukaan bakteerit menestyvät paremmin käsittelemättömillä kuin käsitellyillä puupinnoilla. Tällä on merkitystä kodin ja julkisten tilojen hygienian kannalta.
Automaatio tehostaa lääkkeiden potilaskohtaista jakoa ja parantaa potilasturvallisuutta11.3.2026 12:44:06 EET | Tiedote
Sairaaloiden lääkkeiden jakoprosessien automatisointi voi merkittävästi parantaa potilasturvallisuutta ja tehostaa työnkulkuja. Uudet teknologiat vaativat kuitenkin harkittua käyttöönottoa.
Sateenkaarinuorten kokemukset mielenterveyspalveluista tuovat esiin merkittäviä puutteita9.3.2026 08:30:00 EET | Tiedote
Ongelmalliset kohtaamiset liittyivät erityisesti cisheteronormatiivisiin oletuksiin, ammattilaisten puutteelliseen osaamiseen sekä siihen, että nuoret joutuivat itse kouluttamaan ammattilaisia sukupuolen ja seksuaalisuuden moninaisuudesta.
KUTSU 18.3.: Urheilijan hyvinvointi, kaltoinkohtelu ja oikeusturva -hankkeen päätöstilaisuus4.3.2026 08:15:00 EET | Kutsu
Tutkimushankkeessa julkaistaan nyt tulokset, jotka perustuvat laajaan, yli 3 600 urheilijan kyselyyn ja erillisiin haastatteluihin.
Uutishuoneessa voit lukea tiedotteitamme ja muuta julkaisemaamme materiaalia. Löydät sieltä niin yhteyshenkilöidemme tiedot kuin vapaasti julkaistavissa olevia kuvia ja videoita. Uutishuoneessa voit nähdä myös sosiaalisen median sisältöjä. Kaikki tiedotepalvelussa julkaistu materiaali on vapaasti median käytettävissä.
Tutustu uutishuoneeseemme