Aivovaltimopullistumien hoitotulokset HUSissa maailman kärkeä
19.12.2025 08:49:57 EET | HUS | Tiedote
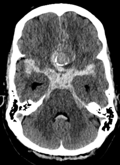
HUSissa tehty tuore tutkimus osoittaa, että puhkeamattomien aivovaltimopullistumien hoito on Helsingissä kansainvälisesti vertailtuna poikkeuksellisen turvallista ja tehokasta. Tulokset julkaistiin arvostetussa Journal of Neurosurgery -lehdessä.

Tutkijat tarkastelivat aivovaltimopullistumien eli aneurysmien hoidon laatua. Tutkimuksessa seurattiin 169:ää potilasta, joita hoidettiin HUSissa joko mikrokirurgisesti (29 prosenttia potilaista) tai suonensisäisesti (71 prosenttia) joulukuun 2022 ja elokuun 2024 välisenä aikana.
Poikkeuksellisen hyvät toipumistulokset
Tutkimuksen hoitotulokset olivat erinomaisia. Kolmen kuukauden kuluttua toimenpiteestä 98 prosenttia potilaista oli toipunut erinomaisesti, kun hoidon vaikuttavuutta arvioitiin yleisesti käytössä olevalla mRS-toimintakykyluokituksella (mRS-toimintakykyluokitus 0–1).
Sairaalahoito oli tehokasta, sillä hoidon kesto oli keskimäärin vain kolme päivää. Merkittävää on myös se, että 97 prosenttia ennen hoitoa työssäkäyvistä potilaista palasi töihin kolmen kuukauden kuluessa.
Pysyviä neurologisia oireita esiintyi erittäin harvoin: avokirurgisessa ryhmässä vain 2 prosentilla ja suonensisäisessä hoidossa 5 prosentilla potilaista.
Kokenut ja keskitetty yksikkö HUSissa hoidon laadun taustalla
”Jos vertaamme leikkaustuloksiamme muihin suuriin ja arvostettuihin neurovaskulaarisiin keskuksiin maailmalla, tuloksemme vaikuttavat olevan poikkeuksellisen hyviä”, toteaa tutkimukseen osallistunut neurokirurgian professori ja ylilääkäri Mika Niemelä.
Esimerkiksi laajassa, useita huippukeskuksia kattaneessa PRAEMIUM-tutkimuksessa raportoitiin, että mikrokirurgisen hoidon jälkeen jopa 14 prosentilla potilaista oli huono neurologinen toipuminen kotiutusvaiheessa. HUSin aineistossa vastaavat luvut olivat murto-osa tästä, mikä korostaa keskitetyn ja kokeneen yksikön merkitystä vaativassa hoidossa.
Piilevät löydökset haastavat nollatoleranssiin iskemian välttämisessä
Vaikka potilaiden kliininen vointi oli erinomainen, tutkimuksessa tehdyt herkät diffuusiomagneettikuvaukset (DWI) paljastivat uusia, pieniä iskeemisiä eli hapenpuutteesta johtuvia muutoksia 63 prosentilla potilaista. Valtaosa näistä oli oireettomia, mutta ne olivat yhteydessä kohonneeseen riskiin saada ohimeneviä neurologisia oireita. Tulos osoittaa, että perinteiset toimintakyvyn mittarit eivät tavoita kaikkia hoidon vaikutuksia aivoihin.
”Aneurysmahoidossa on pyrittävä täydelliseen iskemian välttämiseen. Emme voi tyytyä mittareihin, jotka eivät tunnista hoidon aiheuttamia piileviä vaurioita”, sanoo neurokirurgian dosentti Miikka Korja.
Tutkimuksen pääkirjoittaja, dosentti Rahul Raj täydentää:
”Siksi esitämme, että magneettikuvauslöydökset ja työhönpaluu tulisi ottaa osaksi rutiininomaista laadunseurantaa. HUSissa 97 prosenttia potilaistamme palasi töihin kolmessa kuukaudessa, kun esimerkiksi norjalaistutkimuksessa vastaava luku oli vain 60 prosenttia. Pelkkä hyvä toimintakyky ei siis enää riitä hoidon laadun mittariksi.”
Tutkimuksen avaintulokset:
- Toimintakyky: 98 % potilaista saavutti erinomaisen toimintakyvyn (mRS-luokitus 0–1) 3 kuukauden kohdalla.
- Tehokkuus: Sairaalahoidon mediaanipituus oli vain 3 päivää.
- Työhönpaluu: 97 % työssäkäyvistä palasi töihin 3 kuukauden kuluessa.
- Turvallisuus: Pysyvien neurologisten oireiden riski oli erittäin matala (mikrokirurgia 2 %, endovaskulaarihoito 5 %).
Alkuperäisjulkaisu: Raj R, Numminen J, Huhtakangas J, Nurminen V, Lehecka M, Laakso A, Kivipelto L, Niemelä M, Korja M. The Helsinki Unruptured Intracranial Aneurysm Quality of Care study: a prospective observational study. J Neurosurg. 2025 Dec 5:1-10. doi: 10.3171/2025.7.JNS25775
Yliopistollisessa sairaalassa tutkimus on osa hoitoa: arvioimme ja kehitämme jatkuvasti hoitoa tieteelliseen tutkimusnäyttöön ja potilaskokemukseen perustuen. Teemme HUSissa tiivistä tutkimusyhteistyötä Helsingin yliopiston lääketieteellisen tiedekunnan kanssa. Julkaisemme vuosittain noin 2400 vertaisarvioitua tutkimusta, joita nostamme esiin uutisissamme.
HUSin mediapalvelu palvelee mediaa ma–to klo 10–16, pe klo 10–15 numerossa 050 427 2875 tai sähköpostitse viestinta@hus.fi.
Avainsanat
Yhteyshenkilöt
Rahul Rajdosentti, neurokirurgian erikoislääkäriHUSin Neurokeskus
rahul.raj@hus.fiMiikka Korjadosentti, neurokirurgian erikoislääkäriHUSin Neurokeskus
miikka.korja@hus.fiKuvat



Tietoja julkaisijasta
HUS Helsingin yliopistollinen sairaala on Suomen suurin erikoissairaanhoidon toimija. Osaamisemme on kansainvälisesti tunnettua ja tunnustettua. Yliopistollisena sairaalana tutkimme ja kehitämme jatkuvasti hoitomenetelmiämme sekä toimintaamme.
HUSissa saa vuosittain hoitoa lähes 700 000 potilasta. Meillä työskentelee yli 27 000 ammattilaista potilaiden parhaaksi. Vastaamme erikoissairaanhoidon järjestämisestä Uudellamaalla. Lisäksi meille on keskitetty koko Suomen ja Etelä-Suomen yhteistyöalueen monien harvinaisten ja vaikeiden sairauksien hoito.
HUS – Vaikuttavinta hoitoa
HUSin mediapalvelu palvelee mediaa ma–to klo 10–16, pe klo 10–15 numerossa 050 427 2875 tai sähköpostitse viestinta@hus.fi
hus.fi
Muut kielet
Tilaa tiedotteet sähköpostiisi
Haluatko tietää asioista ensimmäisten joukossa? Kun tilaat tiedotteemme, saat ne sähköpostiisi välittömästi julkaisuhetkellä. Tilauksen voit halutessasi perua milloin tahansa.
Lue lisää julkaisijalta HUS
HUS-sammanslutningens styrelse sammanträder den 9 februari5.2.2026 15:05:13 EET | Pressmeddelande
HUS-sammanslutningens styrelse sammanträder måndagen den 9 februari 2026. Sammanslutningens styrelse behandlar bland annat verkställande direktörens resultatmål för 2026, utlysandet av tjänsterna som chefsöverläkare och kundrelationsdirektör samt tillsättandet av tjänsten som utvecklings- och strategidirektör. Föredragningslistan för mötet finns här. Sammanslutningens styrelse leder HUS verksamhet, förvaltning och ekonomi. Sammanslutningens styrelse har 17 ledamöter och av dem är två företrädare för Helsingfors universitet. Sammanslutningens styrelse sammanträder cirka en gång per månad. HUS medietjänst betjänar medier måndag–torsdag kl. 10–16, fredag kl. 10–15 på numret 050 427 2875 eller per e-post på viestinta@hus.fi. Se avvikande öppettider.
HUSin yhtymähallitus kokoontuu 9.2.5.2.2026 15:05:13 EET | Tiedote
HUSin yhtymähallitus kokoontuu maanantaina 9.2.2026. Yhtymähallitus käsittelee muun muassa toimitusjohtajan tulostavoitteita vuodelle 2026, johtajaylilääkärin ja asiakkuusjohtajan virkojen avaamista hakuun sekä kehittämis- ja strategiajohtajan viran täyttämistä. Kokouksen esityslistan pääset lukemaan täältä. Yhtymähallitus johtaa HUSin toimintaa, hallintoa ja taloutta. Yhtymähallituksessa on 17 jäsentä, joista kaksi on Helsingin yliopiston edustajia. Yhtymähallitus kokoontuu noin kerran kuukaudessa. HUSin mediapalvelu palvelee mediaa ma–to klo 10–16, pe klo 10–15 numerossa 050 427 2875 tai sähköpostitse viestinta@hus.fi. Katso poikkeusaukioloajat
Antalet förlossningar ökade i Nyland3.2.2026 12:08:01 EET | Pressmeddelande
Förlossningsverksamheten förväntas vara fortsatt livlig även kommande vår.
Synnytysten määrä kasvoi Uudellamaalla3.2.2026 12:08:01 EET | Tiedote
Synnytystoiminnan odotetaan jatkuvan vilkkaana myös tulevana keväänä.
HUS-sammanslutningens bokslut för 2025 och preliminära uppgifter om resultatet30.1.2026 10:09:27 EET | Pressmeddelande
HUS-sammanslutningen lyckades balansera sin ekonomi och täcka sitt underskott på det sätt och inom den tidtabell som krävs enligt lag.
Uutishuoneessa voit lukea tiedotteitamme ja muuta julkaisemaamme materiaalia. Löydät sieltä niin yhteyshenkilöidemme tiedot kuin vapaasti julkaistavissa olevia kuvia ja videoita. Uutishuoneessa voit nähdä myös sosiaalisen median sisältöjä. Kaikki tiedotepalvelussa julkaistu materiaali on vapaasti median käytettävissä.
Tutustu uutishuoneeseemme